Atendimento
(13) 3232-7840
Whatsapp
(13) 99111-0912
Segunda a Sexta:
8h às 12h - 14h às 18h
Home
Sobre Nós
Tratamentos
Dúvidas e Orientações
Casos Clínicos
Implantologia
Clareamento a Laser
Prótese Fixa
Prótese Total
Correção Estética
Convênios
Contato
Close
Home
Sobre Nós
Tratamentos
Dúvidas e Orientações
Casos Clínicos
Implantologia
Clareamento a Laser
Prótese Fixa
Prótese Total
Correção Estética
Convênios
Contato
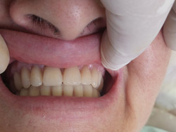
Casos Clínicos
Home
Casos Clínicos
Veja alguns casos clínicos que selecionamos. Clique nas imagens para vê-los por especialidade.
Implantologia
Clareamento a Laser
Prótese Fixa
Prótese Total
Correção Estética
Dr. Durval Capp Filho. 2025. - Desenvolvimento
Interpágina