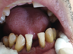
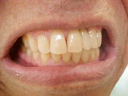
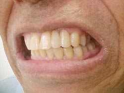
Caso 1 - Resina
Região superior do paciente.
Observe: possui duas laterais ao invés de uma.
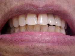
Foto lateral esquerda.
Foto de perfil.
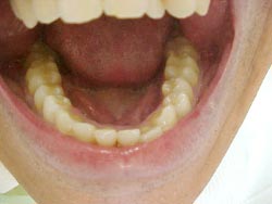
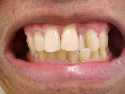
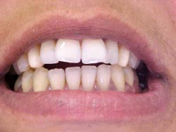
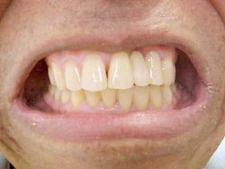
Final do tratamento - usando resina apenas.
Final do tratamento - superior.
Final do tratamento.
Caso encerrado.
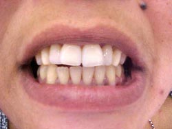
Caso 2 - Desgaste Seletivo
Paciente se apresentou no consultório com desvio dos dentes caninos, com total vestibularização, acarretando-lhe problemas psicológicos.
Foram feitos desgastes seletivos nos dentes caninos em todo o seu formato. Veja a melhora na estética, tanto nos dentes como na função muscular.
Foi realizado desgaste seletivo nos pré e molares para dar uma melhor oclusão. Paciente melhorou seu aspecto estético em duas sessões e já mastigando melhor os alimentos.
Caso 3 - Colocação de Prótese em Cerâmica sobre implantes na Área Superior
Caso finalizado.
Caso 4 - Correção Estética feita em uma semana com resinas
Antes.
